ئامێری تیشکی ددان (OPG) بۆ نەخۆشخانەی گشتیی خەلیفان دابینکرا
ئامێرێکى پێشکەوتویان بۆ دابینکرا
چیتر دانیشتوانى خەلیفان بۆ کێشەى ددان ناچنە سۆران و هەولێر
964+
وریا فەتاح
بۆ یەکەمجار لەلایەن بەڕێوەبەرایەتى گشتیى تەندروستى سۆران، ئامێری تیشکی ددان (OPG) بۆ نەخۆشخانەی گشتیی خەلیفان دابینکرا، لەمەودوا چیتر هاووڵاتییان سەردانى سۆران ناکەن.
راگەیاندنی بەرێوەبەرایەتی گشتی تەندروستی سۆران بڵاوى کردەوە، لەپێناو باشترکردن و دابینکردنی خزمەتگوزاریی تەندروستی جۆراوجۆر لە نەخۆشخانەکانی سنوری ئیدارەی سەربەخۆی سۆران، لەلایەن بەرێوەبەرایەتى گشتی تەندروستی سۆران، بۆ یەکەمجار لە کەرتی گشتی و تایبەتدا، ئامێری تیشکی ددان (OPG) بۆ نەخۆشخانەى گشتیى خەلیفان دابینکرا.
“ئەم ئامێرە لەسەر بودجەی بەرێوەبەرایەتی گشتیی تەندروستی سۆران دابینکراوە و لەمەودوا چیتر هاووڵاتییان سەردانی شاری سۆران و کەرتی تایبەت ناکەن بۆ گرتنی تیشکى ددان، کە خەرجى زۆربوو لەسەر شانی هاووڵاتییان”، تەندروستى سۆران وا دەڵێت.
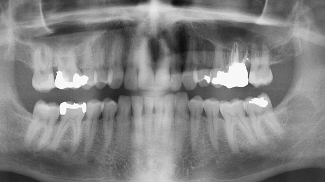
تیشکی ئێکس OPG چییە؟
بریتییە لە تیشکی ئێکس بۆ سکانکردنى پانۆرامى چەناگەى خواروو و سەروو، لەگەڵ سکانکردنى وردەکارییەکانى دیکەى ددان ئەوەش لە رێگەى وێنەیەکى پانۆرامى و پیشاندانى هەموو بەشەکانى ددان، بەوانەشى لە ژێر پوکدان و نەتەقیون بە تایبەت لە منداڵدا، ئەمەش یارمەتى پزیشک دەدات لە دەستنیشانکردنى کێشەکە.